Израильский медицинский консорциум
+972 (3) 376 10 17
Израиль
info@keymedic.org
Мы в социальных сетях
Мы онлайн
+972 (58) 795 01 01
Мы в социальных сетях
О консорциуме
О Key Medical
Почему выбирают Key Medical
Повышение квалификации и обмен опытом
Наши отделения
Врачи Key Medical
Информация для пациентов
Диагностика в Израиле
Лечение в Израиле
Как приехать в Key Medical
Стоимость
Часто задаваемые вопросы
Телемедицина
Телемедицина
Второе медицинское мнение
Годовой абонемент «Здоровье Онлайн»
Годовой абонемент «Здоровая семья»
Годовой абонемент «Персональный»
Отзывы
Контакты
Новости
Медицина для вас
(current)
Главная
Публикации
Публикации
Лечение кариеса в Израиле
Лечение зубов под микроскопом
Зубная пластика в Израиле
Ортодонтия в Израиле
Удаление зубного камня в Израиле
Хирургическая стоматология в Израиле
Отбеливание зубов: как сохранить белоснежную улыбку на долгое время?
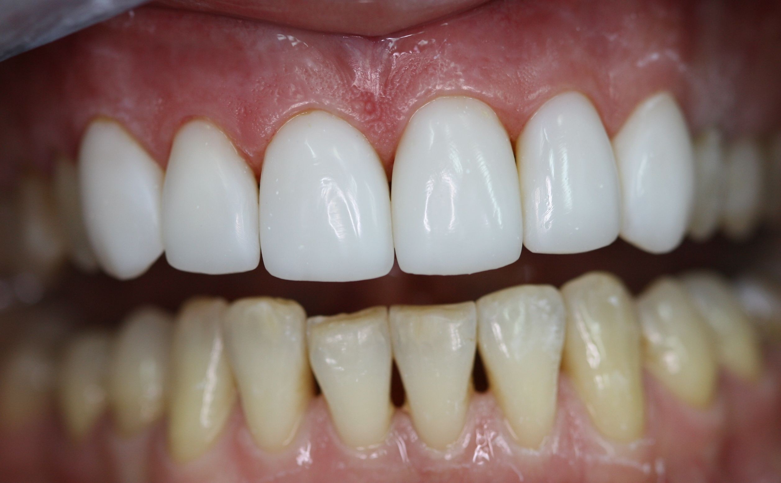
Виниры: красивая улыбка без боли
Имплантация зубов
Показания и для протезирования зубов
Заболевания зубных каналов – как справляются с зубными патологиями в Израиле?
Спинальная мышечная атрофия: возможности израильской медицины
Боковой амиотрофический склероз
Хорея Хантингтона
Нейропатия: лечение неврологических заболеваний в Израиле
Аневризма сосудов головного мозга
Назад
1
2
3
4
16
Вперед
Оформить заявку на диагностику и лечение
Ваше имя
Ваш e-mail
Ваш телефон
Я подтверждаю, что принимаю условия согласия на обработку персональных данных.